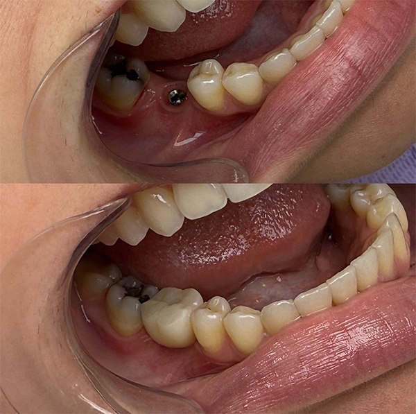
Implant and Implant Crown

A Permanent, Natural Solution for Missing Teeth at Batista Smile Design Kendall

At Batista Smile Design in Kendall, Miami, we specialize in restoring smiles with advanced dental solutions that look, feel, and function like your natural teeth. One of our most reliable and life-changing treatments is the implant and implant crown—a permanent way to replace a single missing tooth (or multiple) without affecting neighboring teeth.

What Is an Implant and Implant Crown?

A dental implant is a small titanium post surgically placed into your jawbone, acting as a strong artificial root. Over time (typically 3–6 months), the implant fuses with your bone through a process called osseointegration, creating a stable foundation. Once healed, we attach an abutment (connector) and top it with a custom implant crown—a porcelain restoration designed to match your natural teeth in shape, color, and texture for a seamless, beautiful result.

Key Benefits of Choosing Implant and Implant Crown

Natural Appearance and Function: Eat, speak, and smile with confidence—your new tooth blends perfectly and feels just like the original.

Preserves Jawbone Health: Unlike bridges or dentures, implants stimulate the bone, preventing the shrinkage and facial changes that can occur after tooth loss.

Long-Lasting Durability: With proper care, dental implants and crowns can last a lifetime, making them a cost-effective, permanent solution.

No Impact on Adjacent Teeth: No need to grind down healthy neighboring teeth, as with traditional bridges.

Boosted Confidence: Regain a complete, natural smile that enhances your overall appearance and quality of life.

What to Expect During the Implant and Implant Crown Procedure

  1. Initial Consultation & Planning — Comprehensive exam, X-rays, and personalized treatment plan (FREE at Batista Smile Design!).
  2. Implant Placement — Gentle surgical insertion of the titanium post under local anesthesia.
  3. Healing Period — Time for osseointegration (bone fusion).
  4. Abutment & Crown Placement — Final custom crown attached for a finished, functional smile.
  5. Ongoing Care — Regular check-ups to ensure longevity.

Our experienced team at the Kendall location uses the latest techniques for comfort, precision, and outstanding outcomes. As a family-friendly practice, we prioritize your comfort every step of the way.

Ready to restore your smile? We offer FREE consultations to discuss if an implant and implant crown is right for you. Contact us today!

📍 Kendall Location: 13632 N Kendall Dr, Miami, FL 33186 ☎️ (786) 786-7795

Schedule your appointment online or call now—your confident, complete smile is closer than you think! 😊

Get Professional Urgent Family The Best Dental Care

Be your WHITEST!

Get $50 Off on Zoom Whitening, we can make the teeth’s appearance brighter and whiter giving you a smoother smile in a simple, painless, safe, quick and effective procedure.

- Whiten Up to 5-8 Shades Lighter.

- Reverses Stains from Food, Drink & Aging.

- High Efficiency & Little To No Sensitivity

Don't Delay Your Dental Treatment Any Longer

Schedule Your Appointment

Leave a Reply

Your email address will not be published. Required fields are marked *

Don't Delay Your Dental Treatment Any Longer

Schedule Your Appointment